首页
产品
科研服务
竞争优势
关于我们
原代细胞培养
Cas9细胞敲除/敲入
模式与转基因动物
动物医学实验
蛋白质组学
基因组/代谢组学
分子生物学检测
细胞生物学检测
基因/蛋白芯片
动物行为学检测
影像学检测服务
病理学检测
蛋白质互作服务
文库构建服务
重组慢/腺/相关病毒载体开发
病理学检测
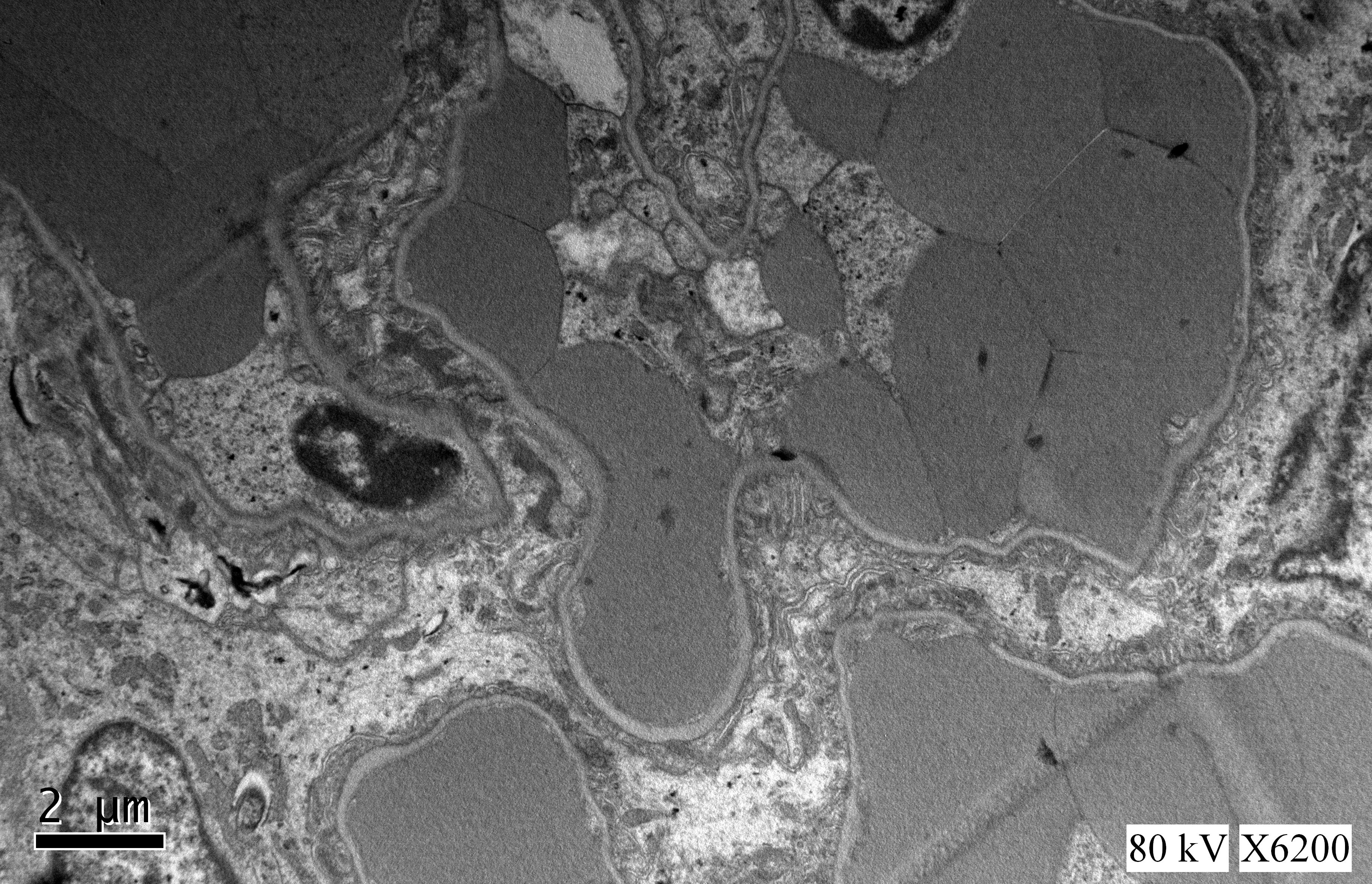
透射电镜
一、透射电子显微镜结构和成像原理 透射电子显微镜结构包括两大部分:主体部分为照明系统、成像系统和观察照相室;辅助部分为真空系统和电气系统。
扫描电镜技术服务
扫描电镜标本经戊二醛和饿酸双重固定,乙醇逐级脱水,CO2临界点干燥,真空喷金,扫描电镜观察
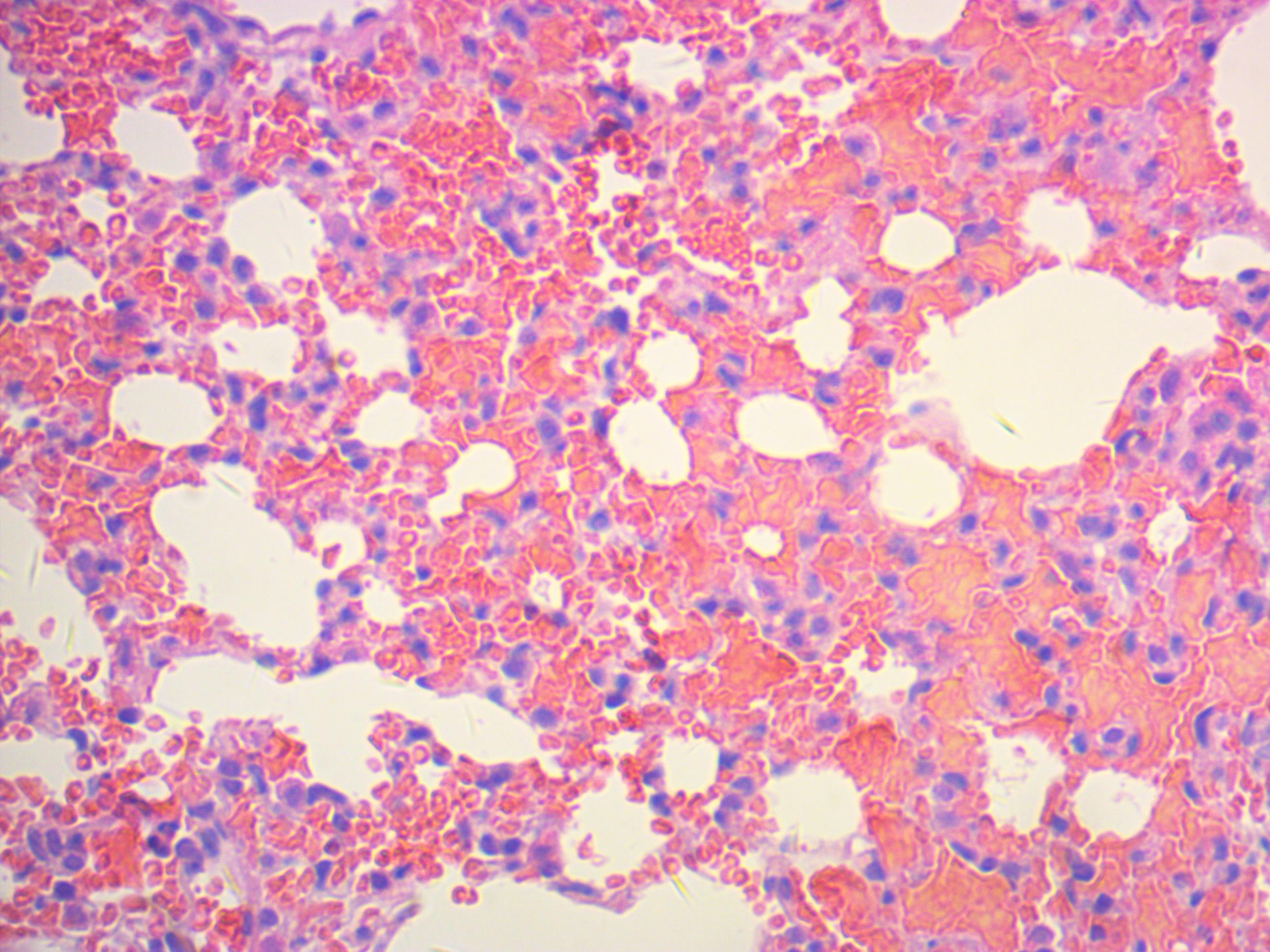
常规(HE)染色技术
常规染色或HE(Haematoxylin and eosin)染色。它是病理技术中最常用的一种方法,通过它可以做出病理诊断和发现寻求别的辅助方法,以达到准确,完整的病理诊断。
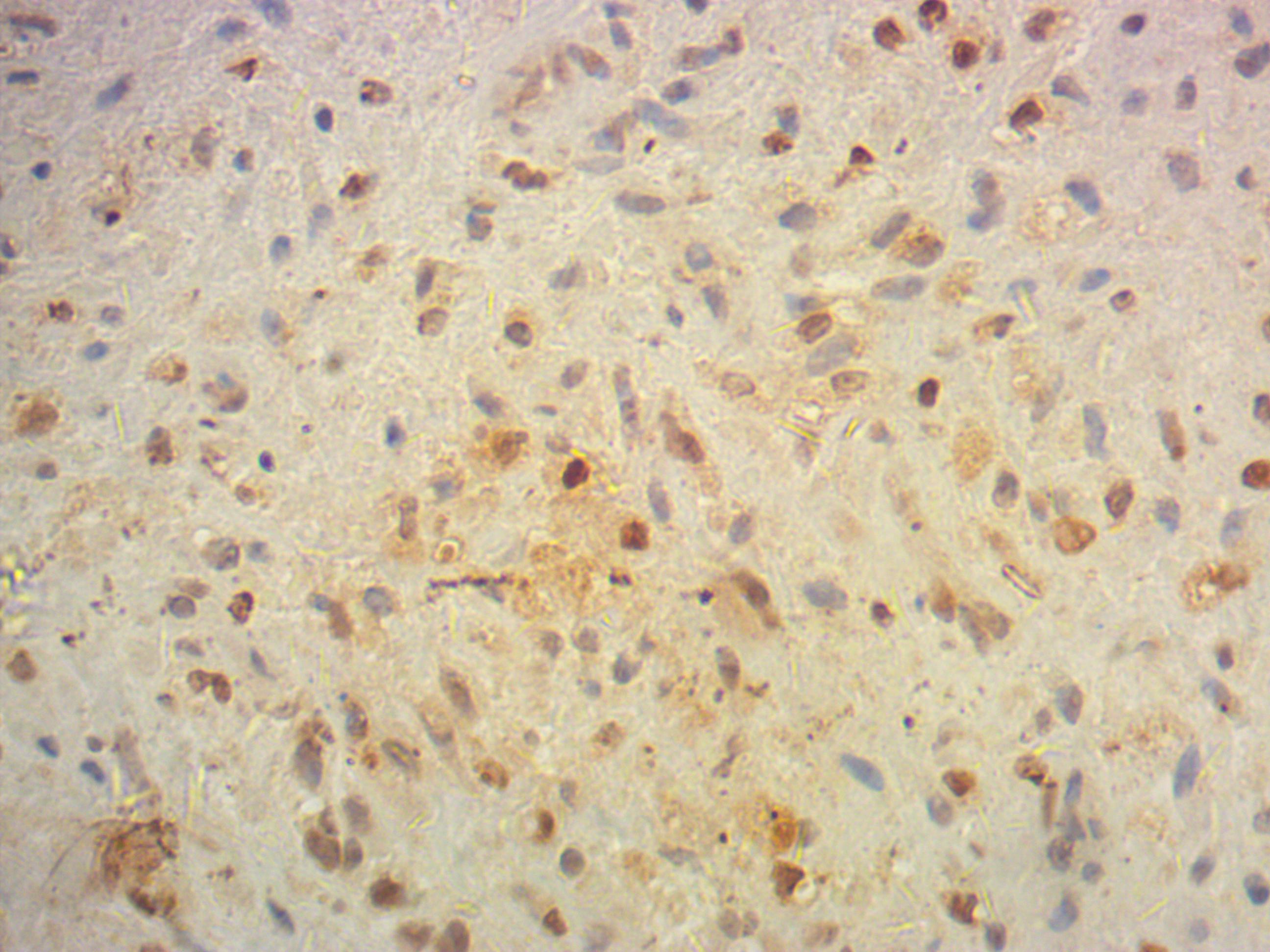
免疫组化实验技术对外服务
免疫组化是应用免疫学基本原理——抗原抗体反应,即抗原与抗体特异性结合的原理,通过化学反应使标记抗体的显色剂 (荧光素、酶、金属离子、同位素) 显色来确定组织细胞内抗原(多肽和蛋白质),对其进行定位、定性及定量的研究,称为免疫组织化学技术(immunohistochemistry)或免疫细胞化学技术(immunocytochemistry)。
原位末端凋亡法(Tunel)实验技术
TUNEL 技术, 即脱氧核苷酸末端转移酶( Term inal2deoxynucleo t idyl t ran sferase, TdT )介导的x2dU TP 缺口末端标记(TdT 2m ediatedx2dU TP n ick end labeling, TUN EL ) 技术, 是目前原位检测细胞凋亡最敏感、快速、特异的新方法, 已广泛用于生物、医学研究领域。
激光共聚焦显微镜
激光扫描共聚焦显微镜是采用激光作为光源,在传统光学显微镜基础上采用共轭聚焦原理和装置,并利用计算机对所观察的对象进行数字图象处理的一套观察、分析和输出系统。主要系统包括激光光源、自动显微镜、扫描模块(包括共聚焦光路通道和针孔、扫描镜、检测器)、数字信号处理器、计算机以及图象输出设备(显示器、彩色打印机)等。通过激光扫描共聚焦显微镜,可以对观察样品进行断层扫描和成像。因此,可以无损伤的观察和分析细胞的三维空间结构。同时,通过激光扫描共聚焦显微镜也是活细胞的动态观察、多重免疫荧光标记和离子荧光标记观察的有力工
免疫荧光检测
将试剂抗原或试剂抗体用荧光素进行标记,试剂与标本中相应的抗体或抗原反应后,测定复合物中的荧光素,这种免疫技术,称为免疫荧光素技术。
特殊染色
为了显示与确定组织或细胞中的正常结构或病理过程中出现的异常物质、病变及病原体等,需要分别选用相应的显示这些成分的染色方法进行染色。包括:胶原纤维染色(Masson等)、网状纤维染色、弹力纤维染色、肌肉组织染色(磷钨酸苏木素)、脂肪染色(苏丹III)、糖原染色(PAS)、粘液染色(PAS)等。
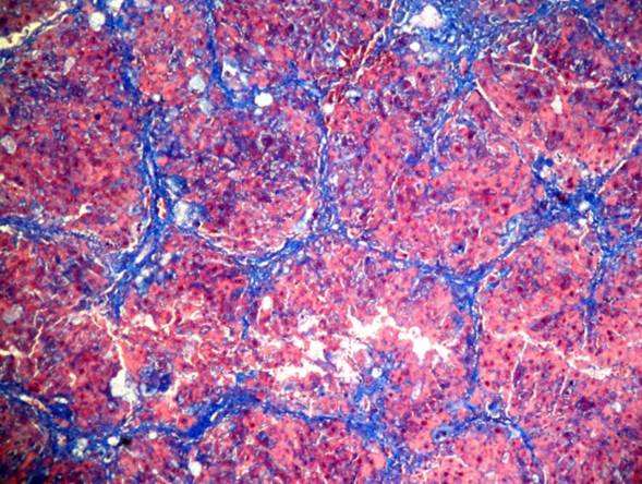
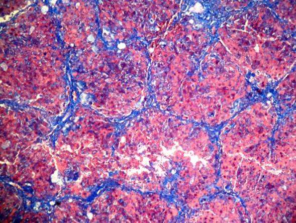
Masson染色
Masson染色时胶原纤维呈蓝色(被苯胺蓝所染),肌纤维呈红色(被酸性品红和丽春红所染),这与阴离子染料分子的大小和组织的渗透性有关。
在线客服
客服热线
关注微信
在线客服
服务时间:08:30~17:30
QQ交谈
QQ交谈
QQ交谈
400-675-6758
客服服务热线
威斯腾公众号
产品
科研服务
竞争优势
关于我们
16年专注模式动物·原代培养·基因编辑
版权所有(C) 重庆威斯腾生物医药科技有限责任公司
全国免费热线:400-675-6758